Digital X-Ray

Therapies and Tests
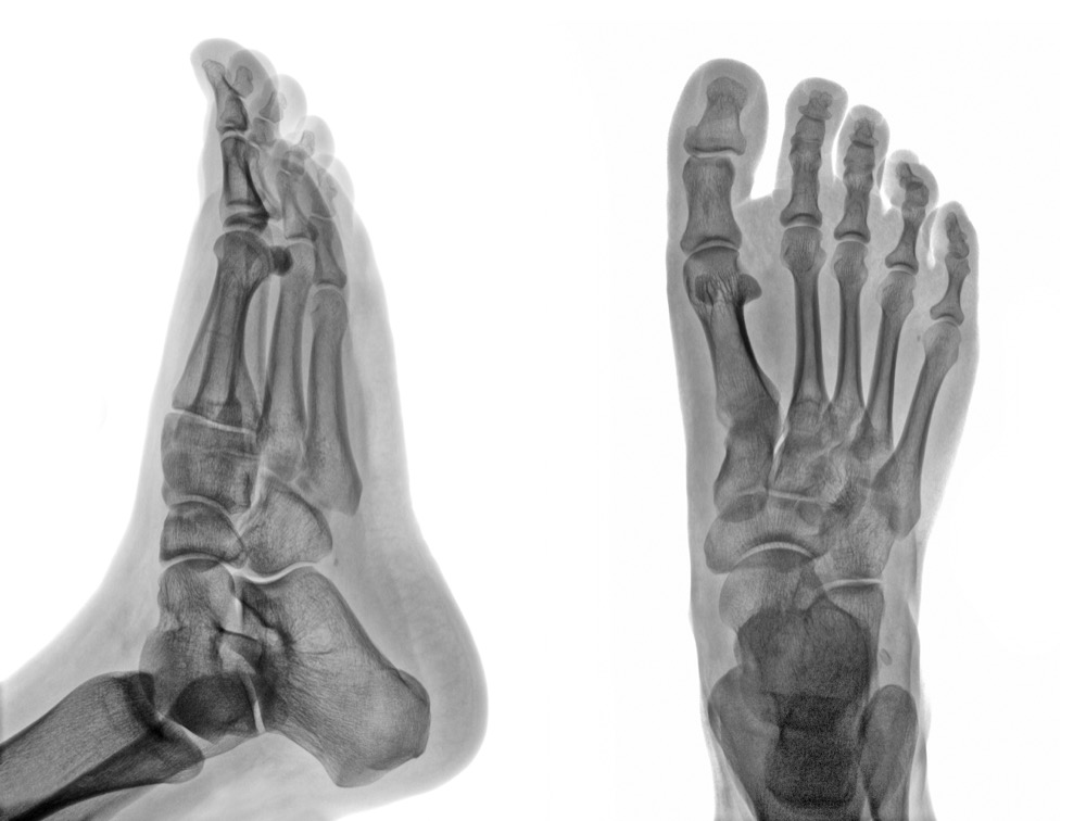
On-site digital x-ray imaging for fast, accurate diagnosis.

About Digital X-Ray

Our on-site digital x-ray system provides immediate, high-resolution images of bones and joints in the foot and ankle. Digital imaging offers lower radiation exposure than traditional x-rays, and results are available in minutes — allowing Dr. Quach to diagnose fractures, arthritis, deformities, and other conditions during your visit.

Having digital x-ray capability on-site is a significant advantage for our patients. Rather than scheduling imaging at a separate facility and waiting for results, we can take and analyze x-rays during your appointment — allowing Dr. Quach to diagnose conditions and begin treatment in a single visit. Our McAllen office is equipped with digital radiography.

Signs & Symptoms

Recognizing the symptoms early can help you get the right treatment sooner.

  • Persistent foot or ankle pain that does not improve with rest
  • Swelling or bruising after an injury
  • Difficulty bearing weight on the foot
  • A visible deformity or change in foot shape
  • Pain following a fall, twist, or impact injury
  • Chronic joint pain or stiffness in the foot or ankle

Common Causes

Digital x-rays are used to diagnose a wide range of foot and ankle conditions including fractures, stress fractures, arthritis, bone spurs, joint dislocations, bunion and hammer toe deformities, and foreign bodies. They are also essential for pre-surgical planning and post-operative follow-up to monitor bone healing and hardware placement.

Key Benefits

  • Immediate results — no waiting
  • Lower radiation exposure
  • High-resolution imaging
  • On-site convenience

What to Expect

X-rays are taken quickly and painlessly during your appointment. Dr. Quach will review the images with you immediately and explain any findings before discussing treatment options.

Recovery & Aftercare

Digital x-rays are a diagnostic tool with no recovery required. The imaging process is painless and takes just a few minutes. There are no side effects, and you can resume all normal activities immediately. Results are available quickly, allowing Dr. Quach to discuss findings and begin a treatment plan during the same appointment.

Frequently Asked Questions

Is digital x-ray safe?

Yes. Digital x-rays use significantly less radiation than traditional film x-rays — up to 80% less. The exposure from a foot x-ray is extremely low and the diagnostic benefits far outweigh any risk.

Do I need to prepare for a foot x-ray?

No special preparation is needed. Simply remove shoes, socks, and any jewelry around the ankle. The x-ray takes just a few minutes.

Digital X-Ray in the Rio Grande Valley

If you’re experiencing symptoms or have been diagnosed with a condition that requires digital x-ray, Dr. Quach and the team at Foot Center of the Rio Grande Valley are here to help. With 21+ years of experience and a conservative-first approach, we’ll develop a treatment plan tailored to your needs.

Ready to Get Started?

Schedule your appointment with Dr. Quach and take the first step toward relief.
Call Us
(956) 682-4187
Submit Online
Request Appointment
Request Appointment